Tel 876 28 28 59 | contacto@clinicadentalzoe.es

Carillas de Composite

Carillas de Composite

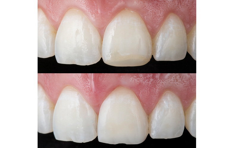
Las carillas de composite son unas restauraciones estéticas realizadas con un material conocido con el nombre de resina compuesta. Se modelan capa a capa directamente sobre la superficie de los dientes hasta conseguir darles la forma y color deseados.

Las resinas compuestas (composites) son materiales que han evolucionado mucho en los últimos años, tanto en sus propiedades físicas como estéticas. Actualmente son materiales capaces de reproducir fielmente el comportamiento biomecánico y óptico de los dientes naturales, permitiéndonos realizar restauraciones prácticamente imperceptibles a la vista.

Con las carillas de composite se pueden restaurar en una sola sesión, de manera inmediata, fracturas dentales y problemas o alteraciones leves que afecten a la forma, tamaño y color de los dientes.

 

En Clínica ZOE – Zaragoza Odontología Especializada, la Dra. Cristina DíazMaster en Estética Dental por la Universidad Europea de Madrid, tiene una amplia formación y experiencia en la realización de carillas de composite, tratamiento que requiere de una gran destreza manual y visión artística por parte del especialista, para poder conseguir los resultados totalmente naturales que estás buscando.

La sonrisa que siempre soñaste en una sola sesión puede ser posible.

Carillas de Composite

Porque hay cosas que no se pueden dejar a la improvisación.

Pide cita con nuestro equipo y te orientaremos sobre cómo mejorar tu sonrisa sin ningún compromiso.

LLÁMANOS 876.282.859

error: Contenido protegido