Tel 876 28 28 59 | contacto@clinicadentalzoe.es

Mantenimiento Implantes Dentales

Mantenimiento Implantes Dentales

Una vez terminado cualquier tratamiento con implantes dentales es imprescindible dejar instaurado un completo plan de seguimiento y control del trabajo realizado. El control periódico permitirá la detección temprana de cualquier alteración en los tejidos blandos (encía), tejidos duros (hueso) y en los elementos que componen la prótesis implantosoportada una vez finalizado el tratamiento.

El objetivo del plan de mantenimiento de implantes dentales es identificar lo antes posible cualquier signo o síntoma que refleje una alteración que pueda poner en peligro la vida útil de los implantes dentales y, en definitiva, el funcionamiento integral de la rehabilitación mediante implantes dentales realizada.

La mala limpieza de la prótesis y el depósito de placa bacteriana y sarro alrededor de los implantes dentales provoca la inflamación de la encía y su posible evolución a periimplantitis (infección de la encía que rodea los implantes), comprometiendo enormemente la supervivencia del tratamiento. En Clínica ZOE – Zaragoza Odontología Especializada, le damos mucha importancia a estas visitas preventivas en las que los pacientes jugáis un papel fundamental en el éxito del mantenimiento y evolución a lo largo de los años de vuestro tratamiento.

En Clínica ZOE – Zaragoza Odontología Especializada, las revisiones y periodicidad del plan de mantenimiento de implantes dentales se pautan en función de las características y factores de riesgo de cada paciente, pero básicamente se componen de las siguientes fases:

  1. Control de presencia de depósitos de placa bacteriana y sarro.
  2. Exploración y sondaje de la encía.
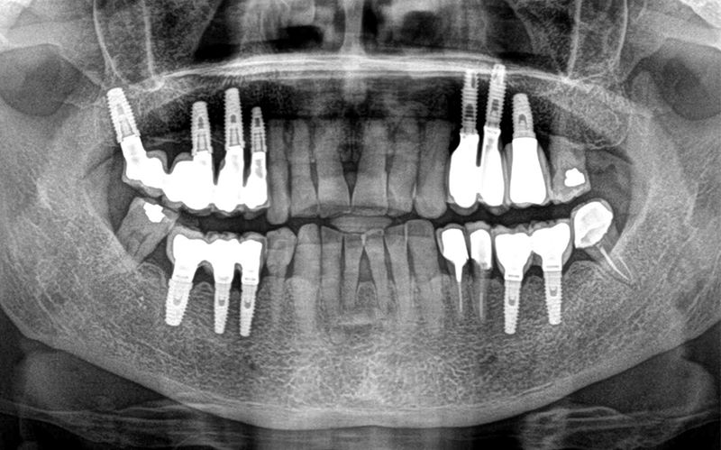
  3. Control radiográfico del implante dental y el tejido óseo.
  4. Inspección de la prótesis implantosoportada y de todos sus componentes.
  5. Control de desgastes y oclusión del paciente. Ajuste oclusal.
  6. Limpieza y eliminación de depósitos de placa bacteriana y sarro.
  7. Motivación e instrucción en higiene dental e higiene de las prótesis implantosoportadas.

Tienes alguna duda sobre tu plan de prevención mantenimiento de implantes dentales, ponte en contacto con nosotros en el 876 28 28 59 y te ayudaremos en lo que necesites.

Mantenimiento Implantes Dentales

Porque hay cosas que no se pueden dejar a la improvisación.

Pide cita con nuestro equipo y te orientaremos sobre cómo mejorar tu sonrisa sin ningún compromiso.

LLÁMANOS 876.282.859

error: Contenido protegido