Tel 876 28 28 59 | contacto@clinicadentalzoe.es

Obturaciones Estéticas de Composite

Obturaciones Estéticas de Composite

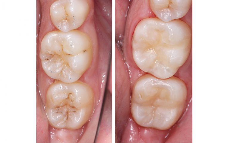
La caries dental es la lesión destructiva que afecta a los dientes causada por los ácidos generados por las bacterias que se encuentran en la placa dental. Las caries pueden afectar a cualquier superficie dental y si no se trata puede destruir el diente hasta llegar al nervio, infectándolo y haciendo necesaria la realización de una endodoncia o la extracción del diente. Para curar este tipo de lesiones se debe limpiar todo el tejido infectado y sustituirlo por un material que restituya la salud, funcionalidad y estética del diente. Este tratamiento es comúnmente conocido como obturación dental o “empaste”.

Tradicionalmente las obturaciones, comúnmente conocidas como “empastes” se realizaban de un material conocido como amalgama de plata. Las ventajas de este material eran su rapidez, resistencia y bajo costo. Sin embargo, también son restauraciones de un color gris-metálico muy poco estético y más importante aun, presentan mercurio en su composición por lo que no están exentas de riesgo para la salud y el medio ambiente.

En Clínica ZOE – Zaragoza Odontología Especializada, realizamos todos nuestros tratamientos restauradores directos con resinas compuestas de alta estética que, tras ser modeladas sobre la superficie dental, endurecen mediante la activación por luz. Las resinas compuestas o composites son materiales totalmente seguros para la salud y poseen unas propiedades biomecánicas muy similares a las del diente natural.

Conseguimos devolver la función y estética a las piezas dentales de una forma fiable, rápida y económica.

Obturaciones Estéticas de Composite

Porque hay cosas que no se pueden dejar a la improvisación.

Pide cita con nuestro equipo y te orientaremos sobre cómo mejorar tu sonrisa sin ningún compromiso.

LLÁMANOS 876.282.859

error: Contenido protegido