Tel 876 28 28 59 | contacto@clinicadentalzoe.es

Diente fisurado: cómo lo diagnosticamos y tratamos con microscopio

 

Diente fisurado Zaragoza

En Clínica Dental ZOE vemos cada semana pacientes que llegan con un dolor “raro” al masticar, sensibilidad que va y viene o molestias al morder pan crujiente, frutos secos o al tomar bebidas frías. Muchas veces no hay una caries visible, ni un empaste roto… y, sin embargo, el diente duele. En estos casos, con frecuencia estamos ante un diente fisurado (también llamado síndrome del diente fisurado).

Como dentista en Zaragoza y equipo especializado en endodoncia con microscopio, nos enfocamos en detectar fisuras invisibles a simple vista y actuar a tiempo para salvar la pieza con el tratamiento más conservador posible.

Qué es exactamente un diente fisurado (y por qué pasa desapercibido)

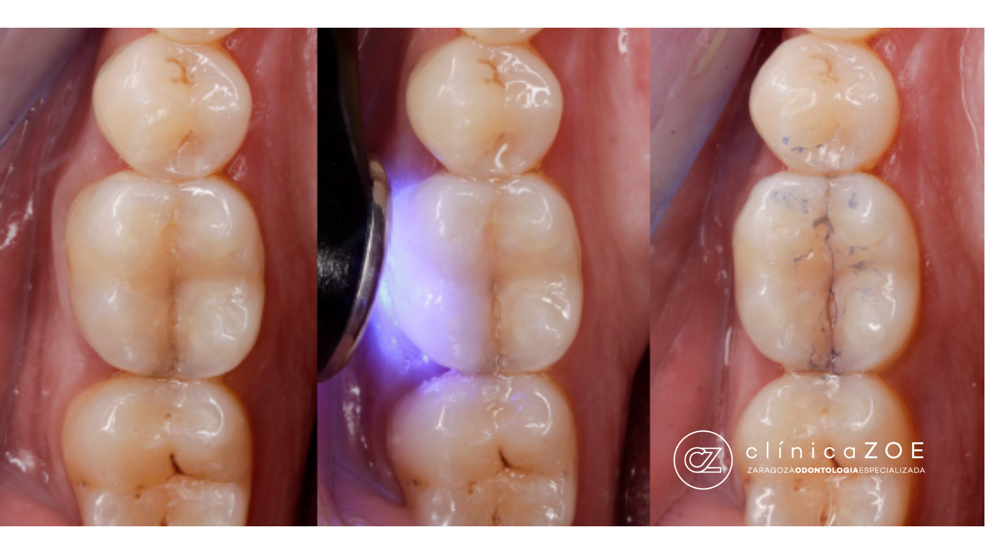
Hablamos de diente fisurado cuando el esmalte y/o la dentina presentan una grieta parcial que puede ser microscópica. No siempre se ve en radiografías y, muchas veces, no se aprecia a ojo desnudo; por eso su diagnóstico es un reto si no se cuenta con magnificación y luz coaxial de un microscopio clínico. Estas fisuras pueden desencadenar dolor al masticar o sensibilidad térmica y, si progresan hacia la pulpa (nervio) o la raíz, comprometer la viabilidad del diente.

La complejidad del diagnóstico se debe a que los síntomas imitan otros problemas (caries profunda, restauraciones filtradas, sensibilidad dentinaria, afecciones periodontales). Por eso, en Clínica Dental ZOE combinamos historia clínica, pruebas específicas y exploración con microscopio para no pasar por alto microfracturas.

Síntomas más comunes (si te reconoces, ven a vernos)

  • Dolor al masticar, sobre todo al soltar la mordida (dolor “reflejo” al dejar de apretar).
  • Punzadas con alimentos duros o crujientes; molestia al “morder una semilla”.
  • Sensibilidad al frío o al calor que aparece y desaparece.
  • Dolor localizado difícil de señalar con el dedo; a veces “migrante”.
  • En fases avanzadas: molestias espontáneas, dolor nocturno o dolor al tocar el diente.

Ten en cuenta que no siempre hay rotura visible. Incluso una pequeña fisura puede generar síntomas muy molestos.

Por qué se fisuran los dientes

  • Bruxismo (apretar o rechinar): eleva la carga sobre cúspides y provoca microfracturas con el tiempo.
  • Masticar alimentos muy duros (hielo, huesos, frutos secos), o usar los dientes como “herramienta”.
  • Restauraciones extensas o antiguas que dejan paredes débiles.
  • Cambios térmicos bruscos (muy frío / muy caliente).
  • Traumatismos o golpes previos.
  • Anatomía del diente: molares inferiores y premolares superiores son los que más se afectan.

Si además padeces bruxismo, te interesa saber que en Clínica Dental ZOE somos referentes en su manejo Bruxismo en Zaragoza; identificarlo y controlarlo reduce el riesgo de nuevas fisuras y protege el tratamiento que hagamos.

Diente fisurado Zaragoza

Cómo diagnosticamos un diente fisurado en Clínica Dental ZOE

  1. Entrevista clínica detallada: preguntamos por patrones de dolor, hábitos (masticar duro, hielo, uñas), antecedentes de bruxismo y calidad de sueño.
  2. Exploración dirigida con pruebas funcionales: utilizamos tests de mordida selectiva y sondaje periodontal para detectar surcos estrechos y profundos.
  3. Magnificación con microscopio: permite ver microgrietas invisibles, aplicar tinciones y valorar su trayecto.
  4. Radiología avanzada: combinamos proyecciones y, si es necesario, CBCT (TAC dental) para descartar fracturas radiculares o lesiones asociadas.
  5. Evaluación de restauraciones y oclusión: analizamos la mordida y la presencia de empastes antiguos que transmitan cargas indebidas.

Nuestro objetivo no es solo “encontrar la fisura”, sino entender por qué ha ocurrido y cómo evitar que vuelva a pasar. La endodoncia con microscopio y la odontología restauradora adhesiva mínima invasiva son claves de nuestro protocolo.
Si además padeces bruxismo, te interesa saber que en Clínica Dental ZOE somos referentes en su manejo Bruxismo en Zaragoza; identificarlo y controlarlo reduce el riesgo de nuevas fisuras y protege el tratamiento que hagamos.

Diente fisurado Zaragoza

Tratamientos que funcionan (y cuándo aplicarlos)

El tratamiento depende de la profundidad y localización de la fisura, de los síntomas y del estado de la pulpa. No hay una solución única; personalizamos cada caso:

1) Sellado/adhesión y protección cuspídea

Cuando la fisura es superficial o limitada, y la pulpa está viva y asintomática, sellamos con materiales adhesivos y protegemos cúspides con incrustación (onlay) o corona parcial.

2) Endodoncia con microscopio (si el nervio sufre)

Si hay inflamación irreversible o necrosis pulpar, realizamos endodoncia con microscopio, sellamos el sistema radicular y restauramos luego con onlay/corona.

3) Corona completa temprana

En dientes fisurados con síntomas, colocar una corona temprana mejora el pronóstico y reduce la necesidad futura de endodoncia.

4) Cuando la fisura es vertical y llega a la raíz

Si confirmamos fractura vertical, el pronóstico es desfavorable y puede requerir extracción (o resección de una raíz en dientes multirradiculares). CBCT, microscopio y, a veces, cirugía diagnóstica ayudan a decidir.

Tras cualquier tratamiento, planificamos férula de descarga y pautas preventivas si hay bruxismo.
Nuestro objetivo no es solo “encontrar la fisura”, sino entender por qué ha ocurrido y cómo evitar que vuelva a pasar. La endodoncia con microscopio y la odontología restauradora adhesiva mínima invasiva son claves de nuestro protocolo.
Si además padeces bruxismo, te interesa saber que en Clínica Dental ZOE somos referentes en su manejo Bruxismo en Zaragoza; identificarlo y controlarlo reduce el riesgo de nuevas fisuras y protege el tratamiento que hagamos.

Diente fisurado Zaragoza

¿Y si tengo bruxismo? Así lo integramos en tu plan

  • Evaluamos signos de bruxismo (desgaste, hipertrofia muscular, cefaleas).
  • Indicamos férula de descarga a medida para repartir fuerzas y proteger dientes.
  • Aportamos pautas de higiene del sueño y hábitos (recordatorio: “dientes separados, lengua en paladar”).

Integrar el manejo del bruxismo no es opcional: es la diferencia entre arreglar hoy y conservar de verdad.

Lo que puedes hacer hoy si sospechas que tienes un diente fisurado

  1. Evita masticar por ese lado alimentos duros o pegajosos.
  2. No pruebes soluciones caseras.
  3. Pide cita con microscopio; cuanto antes estabilicemos, mejor pronóstico.
  4. Si el dolor es intenso, analgésicos habituales pueden ayudar puntualmente.
  5. Si llevas férula, úsala por la noche hasta tu visita.

Preguntas frecuentes (FAQ)

¿Se ve la fisura en radiografía?
No siempre; por eso usamos magnificación y, cuando es necesario, CBCT.

¿Una “línea de esmalte” es grave?
Suelen ser superficiales, pero conviene valorar para diferenciar de fisuras verdaderas.

¿Siempre hay que hacer endodoncia?
No. Si la pulpa está sana, priorizamos sellado y protección cuspídea.

¿Una corona “cura” el diente fisurado?
No cierra la grieta, pero distribuye fuerzas y estabiliza el diente.

¿Puede romperse del todo si no hago nada?
Sí, las fisuras pueden progresar hacia la raíz y volver el diente irrecuperable.

Como Clínica dental en Zaragoza, nuestro compromiso es ofrecerte diagnóstico preciso y un plan honesto, claro y eficaz. En Clínica Dental ZOE encontrarás un equipo experto en diente fisurado y endodoncia con microscopio.
Tras cualquier tratamiento, planificamos férula de descarga y pautas preventivas si hay bruxismo.
Nuestro objetivo no es solo “encontrar la fisura”, sino entender por qué ha ocurrido y cómo evitar que vuelva a pasar. La endodoncia con microscopio y la odontología restauradora adhesiva mínima invasiva son claves de nuestro protocolo.
Si además padeces bruxismo, te interesa saber que en Clínica Dental ZOE somos referentes en su manejo Bruxismo en Zaragoza; identificarlo y controlarlo reduce el riesgo de nuevas fisuras y protege el tratamiento que hagamos.

Diente fisurado Zaragoza

Nuestra forma de trabajar en Zaragoza (por qué elegirnos)

  • Microscopio dental en todos los casos de sospecha de fisura.
  • Odontología adhesiva mínima invasiva.
  • Endodoncia con microscopio y restauración integrada para estabilidad a largo plazo.
  • Visión global: ajustamos oclusión, tratamos bruxismo y planificamos férula.
  • Seguimiento real con revisiones periódicas.

Como Clínica dental en Zaragoza, nuestro compromiso es ofrecerte diagnóstico preciso y un plan honesto, claro y eficaz. En Clínica Dental ZOE encontrarás un equipo experto en diente fisurado y endodoncia con microscopio.
Tras cualquier tratamiento, planificamos férula de descarga y pautas preventivas si hay bruxismo.
Nuestro objetivo no es solo “encontrar la fisura”, sino entender por qué ha ocurrido y cómo evitar que vuelva a pasar. La endodoncia con microscopio y la odontología restauradora adhesiva mínima invasiva son claves de nuestro protocolo.
Si además padeces bruxismo, te interesa saber que en Clínica Dental ZOE somos referentes en su manejo Bruxismo en Zaragoza; identificarlo y controlarlo reduce el riesgo de nuevas fisuras y protege el tratamiento que hagamos.

Llama hoy: cuanto antes estabilicemos, mejor pronóstico

Si notas punzadas al masticar, sensibilidad intermitente o fracturas en empastes, pide cita en Clínica Dental ZOE. Evaluaremos tu caso con microscopio, te explicaremos qué tipo de fisura tienes y diseñaremos un plan para salvar tu diente siempre que sea posible.

En ZOE, la tecnología está al servicio de un resultado simple: que puedas morder tranquilo. Somos tu Clínica dental en Zaragoza para el diagnóstico y tratamiento del diente fisurado y para el manejo del bruxismo con un enfoque integral.

error: Contenido protegido